Կարիես

Ախտանշանները

Ատամի էմալը մարդու օրգանիզմի ամենապինդ հյուսվածքն է: Այն հանդիսանում է ատամների վերին շերտը և պարունակում է ավելի քան 90% անօրգանական նյութեր: Տարբեր գործոնների հետևանքով ատամի էմալում կարող են զարգանալ քայքայման գործընթացներ: Այդ հիվանդության անվանումն է արիես: Հիվանդությունը կարող է մասնակիորեն կամ լիովին ոչնչացնել ատամը, հանգեցնել լնդերի բորբոքման, արյունահոսության, թարախակալման (ֆլյուս) և ատամների կորստի:

Բովանդակություն.

Ախտանշանները

Ինչպես բոլոր հիվանդությունները, ատամների կարիեսը ևս ունի իր ախտանիշները: Դրանք են.

  • ջերմային և քիմիական գործոնների ազդեցության տակ ցավի հայտնվելը: Ջերմային ազդեցություն՝ սառը, տաք սնունդ, քիմիական՝ կծու, թթու, աղի սնունդ;
  • կարիոզային հետքերի հայտնվելը էմալի վրա: Սկզբնական փուլերում ախտահարումները կարող են լինել անտեսանելի, հայտնաբերվում են ատամնաբույժի կողմից: Հետագա փուլերում հետքը ավելանում է, այն կարելի է տեսնել անզեն աչքով:
  • բերանից տհաճ հոտ: Հայտնվում է հիվանդության ավելի ուշ փուլերում:
  • ատամի խոռոչի առաջացումը (կավիտացիա): Կարիոզային ախտահարումը կարող է լինել խորը, հարվածել պուլպային և առաջացնել պուլպիտ (նյարդի ախտահարում):

Բացի այդ բոլոր ախտանիշներից, շատ տհաճ է ատամի արտաքին տեսքը: Կարիեսը բերում է շատ բացասական զգացողություններ, առաջացնում է բարդույթներ, հատկապես՝ երիտասարդների մոտ։

Պատճառները

Յուրաքանչյուր մարդու բերանի խոռոչում առկա են կարիեսածին մանրէներ: Նրանք կարող են փոխակերպել ատամների մակերևույթի վրայի սննդի մնացորդները թթուների: Տվյալ օրգանական թթուն կարող է բացասաբար ազդել ատամի վրա՝ փափկեցնելով էմալը և ոչնչացնելով այն: Նման գործընթացները կարող են նաև առաջանալ հետևյալ պատճառներով.

  • բերանի խոռոչի վատ հիգիենան;
  • բերանի հիգիենայի սխալ ընտրված միջոցներ;
  • ատամների մաքրման համար ատամի թելերի, խոզանակների և այլ միջոցների սխալ օգտագործումը;
  • ծխախոտի օգտագործումը;
  • շատ տաք, սառը, սուր, կծու սնունդը և խմիչքը;
  • էմալի մեխանիկական վնասվածքները:

Պատճառները

Կարիեսի պատճառների շարքում ներկա են նաև հավելյալ գործոններ: Դրանք են.

  • թքի նորմալ արտադրության խախտումը;
  • իրար չափազանց մոտ աճող ատամները: Դա հանգեցնում է ատամների միջև սննդի մնացորդների արգելափակման և քայքայման;
  • թքի թթվայնության նվազումը: Թուքը ընդունակ է ոչնչացնել մի շարք վնասակար թթուներ: Ցածր թթվային ցուցանիշների դեպքում դա անհնար է։

Հետաքրքիր է իմանալ. սրանք կարիեսի հայտնվելու միայն ամենատարածված ախտանիշներն էին: Համաշխարհային գիտնականները առաջ են քաշել այս հիվանդության առաջացման մոտ 400 տեսություն: Դրանցից առաջինները ենթադրվել են դեռևս 18-րդ դարում բժիշկ Վ. Միլլերի կողմից:

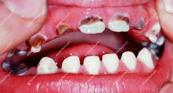
Կարիեսի տեսակները

Կարիեսի միասնական ճշգրիտ դասակարգում գոյություն չունի։ Այս հիվանդությունը բաժանում են մի քանի դասակարգման՝ ըստ հետևյալ հատկանիշների:

Ըստ ախտահարման վայրի՝

  • էմալի հյուսվածքների ոչնչացում;
  • դենտինի քայքայում;
  • ատամի արմատի ախտահարում:

Ըստ ատամի ախտահարման ինտենսիվության՝ ունի հետևյալ փուլերը.

  • հետքերի հայտնվելը: Հիվանդության սկզբնական փուլը էմալի վրա բծերի հայտնվելն է, ցավի զգացողությունը բացակայում է։ Այս փուլում էմալը չի վնասվում, հիվանդությունը հեշտ է ենթարկվում բուժման;
  • մակերեսային կարիեսի հայտնվելը: Այս փուլում վնասվում է էմալը, դեմտինը մնում է անփոփոխ: Հիվանդ ատամի գրգռումից կարող է առաջանալ ցավ;
  • միջին վնասի փուլ: Այս փուլում կարիոզային հետքերը կարելի է տեսնել անզեն աչքով, ցավը հայտնվում է ավելի հաճախ, ավելի ինտենսիվ բնույթ է կրում: Հիվանդությունը ազդում է ատամների էմալի վրա և շոշափում է դենտինը;
  • խորը կարիես: Էմալի ու դենտինի ուժեղ քայքայում, ներսում գոյանում է խոռոչի, վնասվում է ատամի արմատը:

Կարիեսի տեսակները

Դասակարգում՝ ըստ կարիեսի զարգացման. լինում է առաջնային և երկրորդային:

  • առաջնային կարիեսի փուլ. հիվանդության դրսևորում այն ատամի վրա, որը նախկինում չի ենթարկվել բուժման;
  • երկրորդային կարիեսի փուլ. հիվանդության դրսևորում այն ատամի վրա, որոնք նախկինում ենթարկվել են բուժման:

Ըստ հիվանդության ընթացքի սրության: Սրա մեջ մտնում են.

  • չբարդացած: Այս փուլում հիվանդությունը քիչ է իրեն դրսևորում, բացակայում են սուր ցավերը:
  • բարդացած: Բնութագրվում է բարդությունների առաջացման (բորբոքում, սուր ցավ, պուլպիտ):

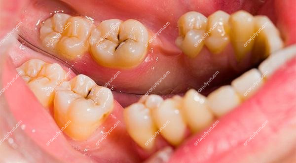
Ըստ կավիտացիայի գտնվելու վայրի.

  • ատամի կենտրոնի ախտահարում (ֆիսսուրների շրջան): Հաճախ կարիեսը դրսևորվում է հենց այդ հատվածում: Դա բացատրվում է ատամի թումբիկների շրջանւ մաքրելու բարդությամբ;
  • միջատամնային կարիես: Կարիոզային ախտահարում ատամների միջև: Բացատրվում է այդ վայրերում ատամները մաքրելու սահմանափակ հնարավորությամբ;
  • ատամի վզիկի կարիես: Գտնվում է ատամի վզիկի մոտ: Առաջացման պատճառը այդ շրջանում էմալի բարակ շերտն է:
  • ցեմենտի կարիես: Ատամի արմատի ախտահարում: Կարող է լինել ինքնուրույն հիվանդություն, ինչպես նաև՝ վզիկի կարիեսի բարդություն:

Առջևի ատամների կարիես: Դրա տեսակներն են.

  • ատամի վզիկի մոտ;
  • առջևի ատամների միջև;
  • ոչ տիպիկ կարիես, գտնվում է ատամի եզրին:

Կարիեսը երեխաների մոտ

Մանկական կարիես.

  • կաթնատամների ախտահարում;
  • հիմնական ատամների ախտահարում:

Կարիես պլոմբի տակ: Հիվանդությունը զարգանում է տեղադրված պլոմբի տակ: Առանձնահատկությունն այն է, որ հիվանդությունը ոչ միշտ է հնարավոր ախտորոշել վաղ փուլերում: Կարիեսի հայտնվելը կարող է առաջացնել սխալ տեղադրված պլոմբը, նրա ոչ ժամանակին փոխարինումը:

Քրոնիկ կարիես: Հաճախ ընթանում է առանց տեսանելի ախտանիշների: Նման հիվանդությունը բնորոշ է ստորին ծնոտի մոլյարներին: Առանձնահատկությունն այն է, որ առաջանում է փոխարինող դենտին, որ նվազեցնում է պուլպիտի և այլ բարդությունների ռիսկը:

Կարիեսը երեխաների մոտ

Քանի որ կաթնատամները պակաս դիմացկուն են վնասակար միկրոօրգանիզմների հանդեպ, երեխաների մոտ հաճախ է առաջանում կարիես հիվանդությունը: Փորձենք հասկանալ հիվանդության ընթացքի առանձնահատկությունները մանկական տարիքում և պատասխանել այն հարցին, թե արժե արդյոք բուժել մանկական կարիեսը: Շատ ծնողներ համոզված են, որ պետք չէ ուշադրություն դարձնել կաթնատամների վրայի հետքերին: Հայրիկներն ու մայրիկները դա պատճառաբանում են նրանով, որ ատամները, միևնույն է, ժամանակավոր են, և անհանգստանալու առիթ չկա։ Արդյո՞ք դա այդպես է: Այդ հարցի պատասխանը գտնելու համար կփորձենք պարզել ամեն ինչ երեխաների մոտ կարիեսի մասին:

Կաթնատամների կարիեսը հաճախ անվանում են շշային: Հիվանդությունը ազդում է 1-ից 3 տարեկան երեխաների վրա: Ավելի հաճախ վնասվում են վերևի ատամները վզիկի շրջանում: Փոքր երեխաների մոտ դա բացատրվում է նրանով, որ կրծքով կամ շշով կերակրվելու ժամանակ ներքևի շարքի ատամները ավելի պաշտպանված են լեզվով: Մանկական կարիեսի առավել հաճախակի պատճառներն են.

Կարիեսը հղիության ժամանակ

  • բերանի խոռոչի սխալ կամ թերի հիգիենան;
  • մեծահասակների հետ միաժամանակ սպասքի օգտագործումից ստացվող վարակումը վնասակար միկրոօրգանիզմներով;
  • ժառանգականությունը և էմալի սխալ ձևավորումը;
  • երեխայի ռացիոնում ֆտորի և կալցիումի պակասը;
  • քաղցր ուտելիքի և ըմպելիքի չափից ավելի օգտագործումը:

Մանկական կարիեսը կարելի է բաժանել կաթնատամների և հիմնական ատամների ախտահարման: Ըստ ախտահարման աստիճանի՝ երեխաների մոտ հիվանդությունը նման է մեծերին։ Անդրադառնալով կաթնատամների բուժման խնդրին՝ վստահաբար կարելի է ասել, որ բուժումը անհրաժեշտ է: Պատճառները մի քանիսն են.

  • հիվանդության բարդություններից խուսափելու համար: Ինչպես մեծահասակների, այնպես էլ երեխաների մոտ կարիեսը կարող է հանգեցնել ֆլյուսի, պուլպիտի, պարօդոնտիտի և այլ բացասական հետևանքների:
  • կաթնատամի տակ գտնվում է հիմնական ատամի արմատը, կարիեսածին մանրէները կարող են ազդել նաև հետագա հիմնական ատամի վրա:
  • բարձիթողի կարիեսը կարող է հանգեցնել որոշ ներքին օրգանների հիվանդությունների առաջացման՝ գաստրիտ, խոլեցիստիտ և այլն;
  • շատ բժիշկներ կապում են քթի, ականջների հիվանդությունների սրումը հենց անառողջ ատամների հետ:

Կարևոր է. ստոմատոլոգի պետք է այցելել մեկուկես տարեկանից: Երեխայի բերանի խոռոչի պարբերական զննումները և ժամանակին բուժումը կօգնեն խուսափել բազմաթիվ անցանկալի հետևանքներից:

Կարիեսը հղիության ժամանակ

Ապագա մայրիկները պետք է առանձնապես ուշադրություն դարձնեն իրենց առողջությանը: Դա վերաբերում է նաև ժամանակին ատամնաբույժի այցելություններին: Հաճախ հղիության ընթացքը կանանց մոտ ուղեկցվում է կարիեսի առաջացմամբ: Պատճառ է հանդիսանում:

  1. Հորմոնալ խախտումների ազդեցության տակ թքարտադրության փոփոխությունը;
  2. Ֆտորի և կալցիումի պակասը օրգազնիմում;
  3. Փսխումը տոքսիկոզի ժամանակ: Փսխումային զանգվածները հագեցած են աղաթթվով, դա բացասաբար է ազդում ատամի էմալի վրա:

Կարիեսի բուժումը տնային պայմաններում

Ատամների ախտահարման բուժումը հղիներին անհրաժեշտ է հետագա բարդություններից՝ պարօդոնտիտից, պուլպիտից, խուսափելու համար: Այս հիվանդությունների ժամանակ տեղի է ունենում կնոջ օրգանիզմի տոքսիկոզ թունավորում, որը արյունով կարող է փոխանցվել ապագա երեխային: Հիվանդության սուր ձևերի դեպքում կինը պետք է անպայման դիմի բժշկի:

Ատամնաբուժական միջամտության համար անցանկալի է համարվում հղիության առաջին եռամսյակը, ինչպես նաև՝ 13-րդ շաբաթը, քանի որ այս շրջանում տեղի է ունենում պտղի հյուսվածքների և ներքին օրգանների ձևավորում: Մնացած ժամանակահատվածներում բժիշկը կարող է իրականացնել անհրաժեշտ բուժումը:

Կարևոր է. հղիության ընթացքում խորհուրդ չի տրվում զբաղվել ինքնաբուժությամբ: Դա կարող է վնասել թե՛ մորը, թե՛ ապագա երեխային:

Կարիեսի բուժումը տնային պայմաններում

Տնային պայմաններում կարիեսի բուժում կարելի է կատարել միայն ատամնաբույժի զննությունից հետո: Այն դեպքում, եթե հիվանդությունը չունի սուր ձև, բժիշկը կարող է նշանակել մի շարք պրոցեդուրաներ, որոնք կարելի է անցկացնել տանը: Դրանք կարող են լինել տարբեր ողողումներ, բուժական մածուկներ: Եթե հիվանդությունը ընթանում է սուր ձևով և վտանգ կա բարդության, տնային բուժման մասին խոսք անգամ չի կարող լինել:

Ժողովրդական միջոցները

Շատերին է հետաքրքրում, թե ինչպես է բուժվում կարիեսը ժողովրդական մեթոդներով: Ժողովրդական բժշկության մեջ կան բազմաթիվ բաղադրատոմսեր այս հիվանդության բուժման համար։ Ահա դրանցից մի քանիսը.

  1. Ողողում տնտեսական օճառի լուծույթով: Պրոցեդուրան անցկացնել առավոտյան և երեկոյան, դրանից հետո մանրամասնորեն ողողել բերանը մաքուր ջրով։
  2. Ողողում սոխի կճեպի թուրմով: 2 ճաշի գդալ կճեպի վրա լցնել մեկ լիտր եռման ջուր, թողնել դանդաղ կրակի վրա 2-3 րոպե: Թողնել, որ թրմվի 2 ժամ, ապա քամել: Ողողել բերանը յուրաքանչյուր 3-4 ժամը մեկ։
  3. Մեղրամոմի լուծույթ: Ողողման համար լուծել 2 ճաշի գդալ մեղրամոմը մեկ բաժակ եռացրած ջրում: Ստացված խառնուրդով ողողել բերանը օրը 3-5 անգամ:
  4. Ողողում ծովային աղի լուծույթով: Լուծել մեկ ճաշի գդալ աղը մեկ բաժակ տաք ջրի մեջ, ողողել բերանը ուտելուց հետո:
  5. Հիվանդ ատամին դնել կամֆորայի յուղով թրջած տամպոն: Կարելի է օգտագործել այն նաև ողողումների համար:

Ժողովրդական միջոցները

Կարելի է օգտագործել խոտաբույսեր բուժման և կանխարգելման համար.

  1. Ողողում երիցուկի թուրմով. 1 բաժակ եռման ջրին կպահանջվի մեկ ճաշի գդալ բույս: Ողողեք բերանը օրը 3-5 անգամ:
  2. Եղինջը և մելիսան նույնպես օգտակար են կարիեսի բուժման և կանխարգելման համար: Թուրմի համար խառնել հավասար քանակությամբ բաղադրիչներ, ավելացնել մեկ բաժակ եռման ջուր: Թուրմը սառելուց հետո ողողեք բերանը օրը 3-4 անգամ:
  3. Աիրի արմատը մանրացնել, լցնել մեկ բաժակ եռման ջուր, եռացնել 3-5 րոպե: Այն բանից հետո, երբ թուրմը կսառչի, քամել, ողողել բերանը օրը 3-4 անգամ:
  4. Ողողել ատամները եղեսպակի թուրմով: Դրա համար մեկ ճաշի գդալ խոտի վրա լցնել մեկ բաժակ եռման ջուր, թողնել մի քանի ժամ, ապա ողողել բերանը օրը 3-4 անգամ:

Բուժումը դեղորայքով

Ամենատարածված դեղորայքային բուժման եղանակները անհատապես ընտրված բուժական մածուկները, գելերը, փոշիներն են: Քննարկենք ավելի մանրամասն:

Ատամի մածուկներ և գելեր

Բուժական ատամի մածուկների կազմում ներառվում են նյութեր, որոնք կարող են պայքարել կարիեսի դրսևորումների դեմ, վերականգնել էմալը և ապահով պաշտպանել այն բացասական ազդեցություններից: Առավել արդյունավետ են համարվում մածուկներից.

  • лакалут;
  • presidentUnique;
  • фтородент;
  • blend-a-med անտիկարիես:

Բուժումը դեղորայքով

Փոշիներից և գելերից.

  1. Նատրիումի ֆտորիդ - Օգտագործում են ողողումների համար, նոսրացրած տեսքով, օրը 2-3 անգամ։
  2. Ֆտորլակ – քսում են տուժած վայրերին շաբաթը մի քանի անգամ։
  3. Կալցիումի գլյուկոնատ - օգտագործում են հաբերի տեսքով:
  4. Icon - Այս միջոցը շատ լավ ամրացնում է էմալը և դիմակայում է կարիեսի առաջացմանը:

Հիշեք. բուժումը պետք է նշանակի բժիշկը՝ ըստ հիվանդի անհատական առանձնահատկությունների:

Կանխարգելումը

Որպեսզի ձեր ժպիտը մնա գեղեցիկ և առողջ, հետևեք այս կանոններին.

  • բերանի խոռոչի կանոնավոր հիգիենա;
  • ատամների մաքրման ճիշտ միջոցներ;
  • հավասարակշռված սնունդ;
  • խուսափեք բերանի խոռոչի մեխանիկական վնասվածքներից;
  • ժամանակին այցելեք բժշկի;
  • սննդակարգում ներմուծեք ֆտոր պարունակող մթերքներ:

Պահպանեք ձեր ատամները, և գեղեցիկ ժպիտը կմնա ձեր հավատարիմ ուղեկիցը երկար տարիներ: